До поры до времени жила себе бед не знала, с кожей особых проблем не было даже в подростковом возрасте. Зато потом познала всю прелесть, так сказать. Аптечная косметика, рецептурные средства, мази и различные антибиотики — эффекта ноль.
Дерматологи только руками разводили. Спустя время, когда я уже совсем сдалась, всё каким-то чудесным образом само пришло в норму. Но с тех пор я предельно аккуратна и в плане ухода уже так не экспериментирую.
Когда всё начало более-менее налаживаться моя мастер по эпиляции предложила полечить кожу лазером. Курс состоял из порядка 10 процедур и потом для поддержания. Параллельно с этим для максимального эффекта посоветовала сходить на механическую чистку.
Я так и сделала, и вот здесь косметолог впридачу немножечко прошлась по моему уходу. Спросила, что да как и я ей рассказала всю свою долгую и слезливую историю последних лет, когда на лице практически живого места не было (и я не шучу). В конце всего она порекомендовала мне линейку Dermedic Normacne.
Так состоялось наше знакомство. Как мне и было порекомендованно, я взяла три средства: гель для умывания, тоник и базовый дневной крем.

Перед тем как перейти к средствам, скажу несколько слов о своей коже. По словам косметолога, кожа у меня (как я сама и думала) нормального типа. На момент посещения была слегка обезвожена, но не критично. Кожа не чувствительная и негативные реакции на уходовые косметику бывают крайне редко. При этом кожа очень склонна к высыпаниям.
Гель для умывания Dermedic Normacne Preventi antibacterial cleansing gel
Оформление, как и подобает большинству аптечной косметики, скромное и лаконичное, без излишеств. Полупрозрачная пластиковая бутылочка, надписи все хорошо читаются.

На самой упаковке русскоязычной информации нет, но есть русифицированная наклейка.

В качестве дозатора поворотный носик, работает исправно, не заедает и не «плюётся». Дозировать продукт легко, мне хватает половинки одного нажатия (и это при том, что средства здесь целых 200 мл).

Отдушка здесь лёгкая, ненавязчивая. По консистенции гель достаточно жидкий, я пока его фотографировала он так и норовил «убежать». Цвета продукт не имеет. Пенообразование отличное, достаточно совсем небольшого количества для обильной лёгкой пены.

Данный гель я использовала ежедневно утром и вечером, для меня такой формат оказался комфортен: не слишком жёстко для утра, но и спокойно хватает для вечера. После умывания у меня нет никакого ощущения сухости или стянутости, но есть ощущение «чистой кожи».


Тоник Dermedic Normacne Regulating Antibacterial Tonic
Такая же пластиковая бутылочка с минимальными надписями и тоже с русифицированной наклейкой.

Информация с упаковки:

Крышечка флип-топ, никакого дозатора по сути нет. На момент покупки под крышечкой была защитная мембрана из фольги, так что за целостность можно не переживать.

Объём здесь также 200 мл, но виду более жидкой консистенции расход в разы быстрее, чем у геля. Отдушка полностью аналогична гелю для лица.

Судя по упаковке кажется, что у тоника есть лёгкий зеленоватый оттенок. Консистенция здесь прям вода-водой. Хоть я и не очень люблю такой формат, но этот тоник наношу только на ватный диск, иначе никак.

Тоник очень лёгкий и приятный, после него нет никакого ощущения жирности, липкости или плёночки на лице. Коже приятно, кожа после геля и этого тоника прям дышит. Летом очень круто освежиться, да и в периоды межсезонья и отопления. А ещё этот тоник неплохо успокаивает кожу после более агрессивных средств и даже процедур.

Крем для лица Dermedic Normacne Therapy Niacestre Hyaluron
Крем находится в картонной упаковке, оформление у всей линейки в едином стиле и мне это очень нравится. Внутри мягкая пластиковая туба с продуктом. Очень миниатюрно выглядит, даже не верится, что здесь целых 40 мл.


Под крышечкой вытянутый узкий носик, что позволяет без проблем дозировать продукт.

Отдушка здесь такая же лёгкая и ненавязчивая. Крем имеет непрозрачный беловато-желтый оттенок. По текстуре он очень лёгкий, в момент распределения ощущается чем-то средним между гелем и водичкой.

Данный крем я использовала ежедневно утром и вечером. Мне было комфортно: крем очень лёгкий и не перегружает кожу. Впитывается практически моментально, после себя не оставляет ни липкости, ни жирности, ни ощущения плёночки. Кожа выглядит естественно-матовой.

Крем отлично справляется с увлажнением кожи. Я им пользовалась и осенью, и в межсезонье, и в отопительный период, и в морозы. И никогда не было желания или потребности увлажнить кожу чем-то ещё.

Также крем хорошо успокаивает кожу и снимает покраснения при наличии таковых. Производитель прямо так и заявляет, что данный крем рекомендуется как дополнительный уход за кожей во время лечения ретиноидами или антибиотиками.
Общие впечатления от использования линейки
В плане работы с высыпаниями, думаю, несправедливо все заслуги приписывать только уходу, однако это безусловно важная часть и с началом использования этой линейки их и правда стало появляться гораздо меньше.
В целом кожа стала гораздо ровнее, однороднее и здоровее по цвету, появился здоровый блеск. Вплоть до того, что у меня временами спрашивали про тон, когда на лице ничего не было. Особенно те кто видел кожу в худшем ее состоянии.
После механической чистки эта линейка отлично справлялась с поддержанием результата. Носик оставался чистым ещё очень долгое время, да и в остальном тоже видно было, что эффект есть.
На волне своего страха что-то испортить, я кроме этой линейки для ухода не использовала вообще ничего. Умывалась, далее наносила тоник и закрывала кремом, на этом все. Так что касательно состояния кожи объективность 100%, другого ухода у меня вообще не было.
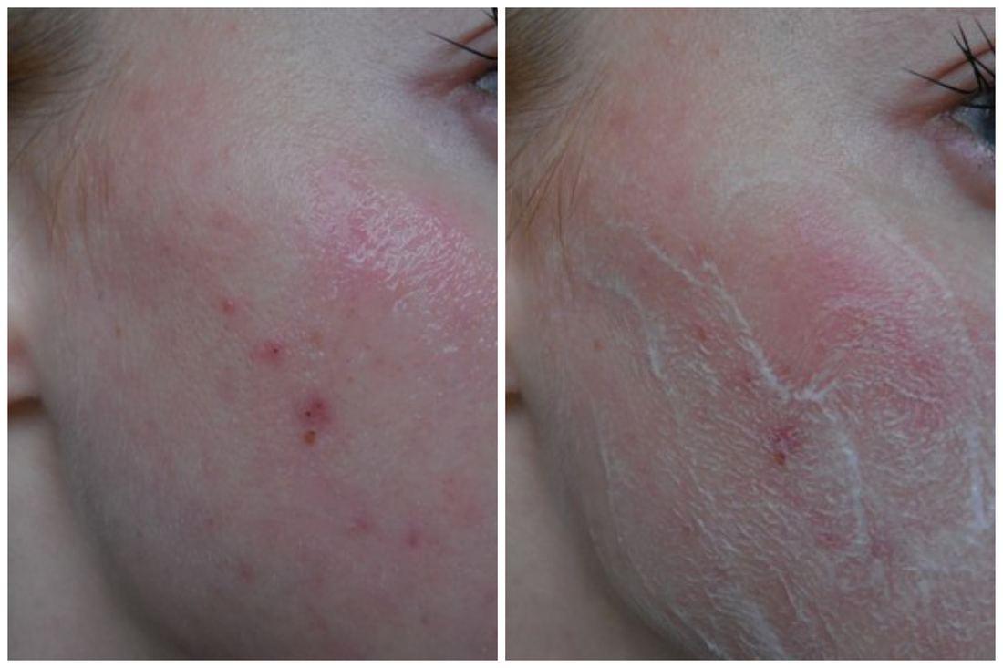
Ну и чтобы не быть голословной, вот как изменилась кожа спустя полтора месяца после начала использования линейки:


Ну и так моя кожа выглядит на данный момент:


Вывод. По-моему, тот самый случай, когда фото говорят за себя. Учитывая, что ничего другого я не использовала в принципе, хочу сказать, что линейка реально рабочая и очень сильно мне помогла в борьбе с высыпаниями. Рада, что попала на косметолога который мне её посоветовал. Для меня эти три средства — прям идеальная база.
Стоимость продуктов:
Гель для умывания — около 730 RUB
Тоник — около 740 RUB
Крем дневной — около 790 RUB
Срок использования: все средства использовались одновременно, линейкой пользовалась на протяжении почти года.
Моя оценка каждому средству по отдельности и всей линейке в целом — 10/10. Я думаю, по фотографиям итак все видно.
Всем спасибо за внимание к отзыву, буду рада вашей обратной связи
Комментарии